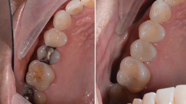
Fillings & Root Canal Treatment
Dental fillings and root canal treatments are essential procedures used to treat tooth decay and infection, relieve pain, and preserve natural teeth.

Fillings are recommended for:
• Tooth decay (cavities)
• Chipped or cracked teeth
• Worn teeth
• Minor structural damage
Root canal treatment helps to:
• Eliminate pain and infection
• Save the natural tooth
• Prevent tooth extraction
• Restore normal function